Loading...
#73, C/9, Annamalai Nagar, Thillai Nagar, Trichy - 620 018
Mon - Fri : 09.00 AM - 09.00 PM
+91 96595 95141 / 96291 33415
" First centre for fetoscopic procedures in south tamil nadu "

" First centre for fetal neurosonogram in tamil nadu "

" First centre with inhouse genetic counselling and fetal postmortem "

About Us

Why You Should Trust Us? Get Know About Us!

Trichy fetal medicine and fertility centre is a state of art centre for fetal medicine for the past 13 years

It's the first centre in South tamilnadu and second centre in tamilnadu .The team of consultant are fetal medicine specialists with expertise in non invasive and invasive procedures

We are specialised in fetal interventions such as amniocentesis,cvs ,fetal reduction,intra uterine transfusions for rh negative mother's,fetoscopic procedures,RF ablation for twin gestation.we have a multi disciplinary panel for management of abnormal cases with genetic counseling.

Quality health care

Only Qualified Doctors

Medical Research Professionals

Read More

Services

Invasive and Non-Invasive

Viability scan

Read More

Downs Screening (OSCAR)

Read More

First Trimester Anomaly Scan

Read More

NIPT

Read More

Anomaly Scan

Read More

Fetal Echo

Read More

Second Opinion Scan

Read More

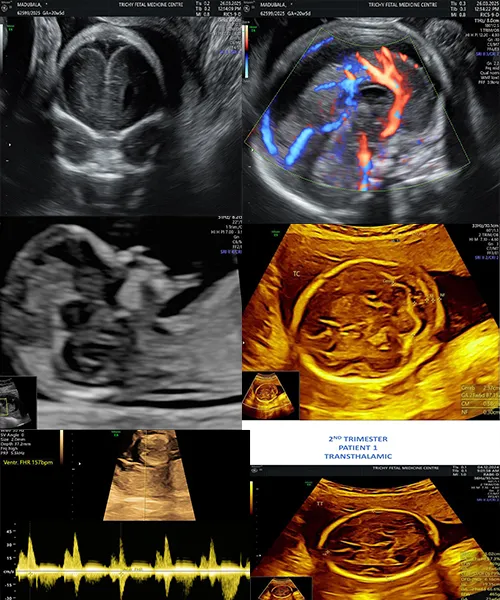
Fetal Neurosonogram

Read More

Growth Scan with Doppler

Read More

Genetic Counselling with Expert Genetecist

Read More

Fetal Postmortem

Read More

Recurrent Miscarriages Clinic

Read More

Twin Specialised Clinic

Read More

Fellowship

Fetal Courses

Features

Why Choose Us

Tempor erat elitr rebum at clita. Diam dolor diam ipsum sit. Aliqu diam amet diam et eos. Clita erat ipsum et lorem et sit, sed stet lorem sit clita duo justo erat amet

Experience

Doctors

Quality

Services

Positive

Consultation

24 Hours

Support

Doctors

Our Experience Doctors

Dr Malathi G.Prasad

MD FRCOG (UK)

Diploma in fetal medicine FMF ( Barcelona)

Dr Revathy Chandrasekharan

Fellowship in Fetal Medicine

Dr Nivethitha

Fellowship in Fetal Medicine

INTERNATIONAL APPOINTMENT

+91 9443389193

Appointment

Make An Appointment To Visit Our Doctor

Call Us Now

+91 96595 95141 / 96291 33415

Mail Us Now

fmc.trichy@gmail.com

Testimonial

What Say Our Patients!

whatsapp